ページ内のコンテンツ一覧

スポーツ・足の外科外来は火曜日の午前に初診・午後に再診を行っております。主に足部・足関節疾患全般と、膝関節のスポーツ傷害を取り扱っております。
足部・足関節はスポーツで多くケガをする部位である一方で、足の外科を専門とした整形外科医はまだ少ないのが現状です。当院では「足の外科」を専門とした外来診療を行なっており、多くの疾患・外傷に対応し、手術にも対応しています。外反母趾や変形性足関節症など高齢者に多い変性疾患にも対応しております。
足首をくじく、いわゆる足首の捻挫が癖になり、何度も捻挫を繰り返したり痛みをきたすような方が対象となります。
腓骨筋腱という外くるぶしの後ろの腱の脱臼が癖になる疾患です。
インピンジメントとは「衝突」とか「挟まる」という意味で、文字通り足首を反らすと足首の前で、つま先を伸ばす(つま先立ちする)と足首の後ろでつまる感じがあったり、痛みをきたしたりする疾患です。
距骨骨軟骨損傷とは足首の捻挫や若年時のスポーツなどが原因で、距骨という足首の骨の一部が傷つく疾患です。
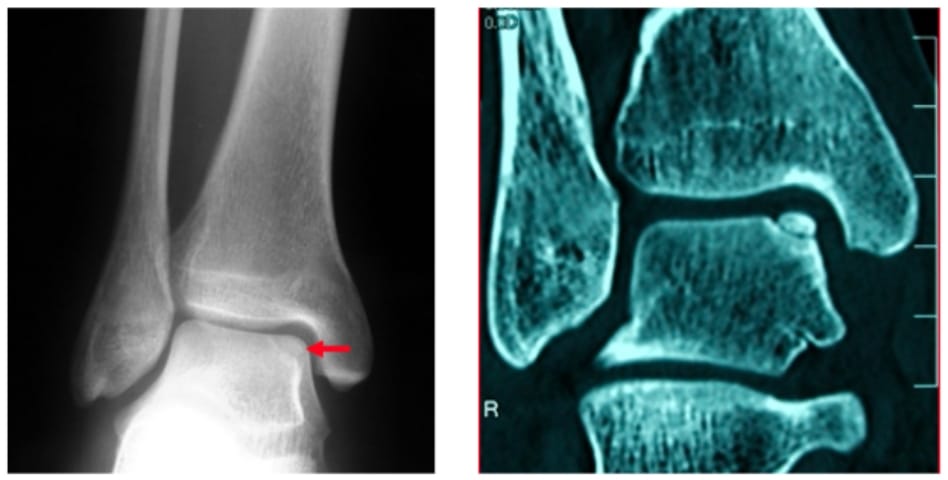
足首の軟骨がすり減って痛みが出る疾患です。
足の親指(母趾)が外側に曲がって痛みをきたす疾患です。親指(母趾)が2番目の指(趾)の下に潜り込むことで、2番目の指(趾)が変形して痛みがでたり、足の裏にタコ(胼胝)ができて痛みをだすことがあります。
膝関節の不安定性(ぐらつき)を制御する靭帯の中でよくスポーツで断裂するのが前十字靭帯です。この靭帯は自然に治ることがほとんどなく、多くの場合、手術が必要となります。
半月板は膝関節の中にあるクッションのような軟骨です。スポーツや外傷で断裂したり、加齢に伴って質が低下して断裂します。
ページ内のコンテンツ一覧
靭帯が残存していれば内視鏡下での靭帯縫合術が可能です。靭帯が残存していない場合、また、質が悪い場合には人工靭帯で補強したり、他の組織(腱)を用いて内視鏡下に再建します。

モニターをみながら、特殊な道具を用いて手術を行います。

内視鏡手術は小さな傷での手術が可能です。

当院では患者様の身体的負担が軽くなるよう、できる限り内視鏡を用いて治療を行っています。

足関節鏡を用いて、小さな傷2か所程度で、原因となる骨や軟部組織を切除することが可能です。

足関節鏡を用いて、アキレス腱の横に小さな傷2か所程度で、原因となる骨や軟部組織を切除することが可能です。

病状の進行状況に応じて手術の方法を決定します。足関節鏡をみながら、針金のようなもので骨に刺激を加えたり、自身の骨を用いて固定したりします。病状が進行している場合には切開手術で膝から骨軟骨を移植することもあります。

足関節鏡を用いて骨を削り、その後に内くるぶしの部分からスクリューを3.4本挿入して固定します。手術後は2-4週間ほどギプスで固定して、その後はブーツを用いて歩行が可能です。

足関節の内くるぶし側のみの軟骨損傷の場合に適応になることが多いです。骨を切って楔状の人工骨を入れ、足関節の角度を変えてプレートで固定します。足関節の角度が変わることで内くるぶし側への荷重が減り、痛みが緩和します。手術後は5週間ほどギプスで固定して、骨がしっかりとついたらプレートを抜去します(術後約1年)。

装具や靴、運動療法などの保存的治療が基本ですが、これらで症状が軽減しない場合には骨を切って動かす手術を行います。病状により親指(母趾)以外の指(趾)も手術を行います。最近では経皮的に小さな傷で行っています。


矢印は経皮的手術の傷痕です。
膝関節鏡手術では約1 cmの切開創2~3か所で行い、1~2週間前後で退院が可能となります。半月板損傷や十字靭帯損傷が主な適応疾患となります。
手術は自身のハムストリングスという腱や膝蓋腱や大腿四頭筋腱という膝の前の膝蓋骨(いわゆるお皿の骨)とその上下の腱の一部を用いて、靱帯を再建します。できる限り解剖学的に正常の前十字靱帯に近いように再建する方法を行っています。入院期間は2週間程度で退院となります。術後は筋力の回復をみながらリハビリを行い、術後約3カ月でジョギングや水泳よりスポーツ復帰を開始します。競技や再建方法にもよりますが、最終的な試合への復帰は10か月前後かかることが多いです。
正常解剖に近づけるため、太ももの骨とすねの骨に2個ずつトンネルをあけ、2本の移植腱(青色・緑色)で再建します

半腱様腱を用いた移植腱

術後単純X線
太ももの骨とすねの骨にトンネルを明け、移植腱(橙色)を通して靱帯を再建します。

骨付き膝蓋腱を用いた移植腱

術後単純X線
できる限り温存を目指し、縫合術を第一選択としています。
半月板を縫合した場合には縫合の方法などにもよりますが、約1か月前後の松葉杖の使用が必要となり、術後約3ヶ月からジョギングなどの運動が少しずつ開始となります。スポーツ競技や個人の回復状態にもよりますが、サッカー、バスケットボールなどでは約半年程度で試合復帰となります。

ページ内のコンテンツ一覧
腓骨筋腱脱臼や外反母趾をはじめとする足部・足関節、スポーツ傷害の手術成績を評価するとともに、より合併症が少なく有効な手術手技の確立を目指して臨床研究に取り組んでいます。
基礎研究においては、アキレス腱断裂の治癒促進や工学部と連携した靱帯・腱修復の促進、人工靱帯・人工腱などのテーマに加え、外反母趾や扁平足、半月板などに着目した疫学研究にも努めています。